お知らせNews
2022.07.06 医療コラム

皆様は大切な歯が失われていく二大原因が、むし歯と歯周病であることをご存知ですか?最近の研究では、歯の健康を守ることが、身体全体の健康を維持するために不可欠で、歯の喪失が少なく、よく噛めている80歳の高齢者は、生活の質や活動能力が高く、運動機能や視聴覚機能も優れていることが明らかであるとされています。
予防歯科先進国であるスウェーデンでは、歯科の定期検診受診率が大人で80%以上あり、子供は100%近くが定期検診を受けています。他の先進諸国でも70%ほどの受診率が一般的になってきているにもかかわらず、日本の定期検診受診率が10%以下というのは驚愕の事実です。これではむし歯と歯周病が悪化し歯を喪失することを防ぐことはできません。
特に悪い歯並びの人は、むし歯や歯周病のリスクが何倍も高くなるという報告があります。歯周病原菌は口腔内に留まらず、誤嚥や血流に乗って全身をめぐることにより誤嚥性肺炎、狭心症、心筋梗塞、脳梗塞、糖尿病、早産、関節リウマチなどの様々な疾患のリスクを高めるとされます。さらに歯の喪失とアルツハイマー型認知症との発症には密接な関係があることも分かってきました。このように「口は万病のもと」であることが明らかになってきたため、政府は毎年の歯科検診を受診することを義務付ける「国民皆歯科検診制度」の導入を検討しています。これは是非実現してもらいたいものです。
矯正治療で歯並びを整えることは、結果として歯の喪失を予防し、さまざまな疾患から身体を守り、健康寿命を延ばす効果があるのです。本日はその事を踏まえ歯列矯正の意義についてお話ししていきたいと思います。
そもそも日本人は八重歯を肯定的に捉え、悪い歯並びに対しあまり違和感を抱かない国民性ですが、残念ながら八重歯を可愛いと持て囃すのは日本特有の文化で、グローバルでは決して評価されるものではありません。悪い歯並びのデメリットは下記のようになります。
①清掃性が悪いためむし歯や歯周病のリスクが高くなる。
②咀嚼能率が劣るため内臓諸器官に大きな負担をかける。
③顎の関節を痛める。
④顎顔面の正しい成長発育を阻害する。
⑤発音が不明瞭になる。
⑥コンプレックスを抱き内向的な性格になりやすい。
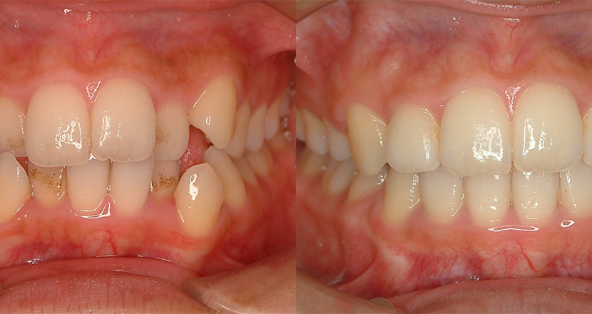
このように悪い歯並びは様々なトラブルを誘発するため、矯正治療による改善が必要になります。かつては「歯並びは治したいけれど矯正装置を付けてお客様の前に出られない」と言って矯正治療を躊躇する人がいましたが、近年メディアに露出する機会の多いスポーツ選手や芸能人が、ブラケットによる歯列矯正を積極的に行ったり、インビザラインを代表とするアライナーという取り外しのできるマウスピース型の矯正器具の登場により、日本人の矯正治療に対する意識がポジティブに変化しつつあります。
またコロナ禍でマスクをしている間に歯並びを整えてしまいたいと考える人が増えたことにより、矯正歯科を受診する人の数は増加傾向にあります。それでも欧米諸国に比べると日本の矯正歯科受診率はまだまだ低く、歯並びに無関心な人が多いのも紛れもない事実です。

エステ、ネイル、ファッション、メイク、ヘアスタイル、お教室通いと自分磨きに余念が無くても、意外と盲点なのが歯並びなのです。他は完璧なのに笑ってみたら残念という話をよく耳にします。ある日系の航空会社のCAの歯並びが悪かったため、ファーストクラスの乗客からアテンドを拒否されたというエピソードもあるぐらい、欧米ではビジネスや恋愛を成功させるのに美しい歯並びは不可欠とされ、歯は大切な身だしなみであり、歯並びの良さは育ちの良さを表すとされています。連続的な歯並びは美しく、人に好感を抱かせます。
美しい歯並びは自信に溢れた笑顔と積極性を与えてくれます。昨今オーディションや就職活動の際の面接でも歯並びは重視され、美しい歯並びは人生の成功への条件になりつつあると言っても過言ではありません。大切な身だしなみである歯並びを自分磨きの一つに加えることは、人生の成功への重要なポイントになると考えます。
この流れでいくと歯列矯正は審美的な改善のために行う治療だと思われるかもしれませんが、矯正治療の第一目標は咬み合わせの改善であり、決して審美優先ではありません。悪い歯並びから惹起される様々なリスクや問題を改善し、しっかりとした咬み合わせを構築した結果として美しい歯並びが得られるのです。思いと裏腹にかみ合わせの改善を主訴に受診される人はごく少数で、見た目の改善を希望して来院される人がほとんどですが、きっかけは何であれ、ご自身の歯並びに疑問を感じ、先ずは矯正歯科を受診することが大切なことです。
矯正治療は若い頃に行うものという思い込みがあるようですが、何歳であっても口腔内環境が健全であれば可能です。ご自身のQOLの向上ために是非矯正治療を考えてみてはいかがでしょうか?きっと矯正装置が外れるその日が、あなたの素晴らしい第二の人生の始まりになります。
螺良 典秀 先生 記載