お知らせNews
2022.06.27 医療コラム

脳卒中は日本人の死因の第4位で、認知症とともに要介護となる原因疾患のトップです。脳卒中は血管が閉塞することによっておこる脳梗塞と脳出血に分けられます。
A)脳梗塞は、脳卒中の約4分の3を占め、心臓にできた血栓が脳に飛んで起こる心原性脳梗塞、首から脳にかけての動脈硬化によっておこるアテローム性梗塞と、脳の細い血管が詰まって起こるラクナ梗塞がほぼ同じ3分の1ずつの比率で起こります。心原性脳梗塞は、心臓にできた大きな血栓が脳の太い血管を閉塞するため大きな脳梗塞が起こりやすく、重い症状が出る傾向があります。これを予防するには、心臓ドックなどで心臓検査を定期的に行い、不整脈や心臓の病気を早期に発見して治療する必要があります。
太い血管の閉塞による脳梗塞が起こった場合は、発症6時間以内であれば血管の中から血栓を取り除く治療を行うことにより、症状が改善する可能性があります。アテローム性梗塞やラクナ梗塞を予防するには、脳ドックなどで、頸動脈エコーや脳MRI/MRAを定期的に行い、脳や首の動脈の動脈硬化やそれによる血管狭窄の有無をチェックし、必要に応じて血液をさらさらにする薬を内服して、血栓ができるのを予防することが重要です。
狭窄の程度がひどい場合や、軽度脳梗塞や一過性の脳症状を呈する場合は、狭窄部にステントを置いたり、脳血流を増やす手術が必要になったりする場合もあります。また、動脈硬化は、糖尿病、高血圧、高脂血症などがあると悪化する傾向があり、認知症の原因ともなるので、これらの生活習慣病の予防と治療も重要です。

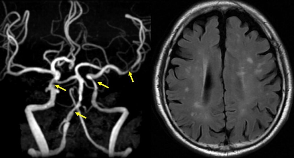
図の説明;左:脳MRAで脳血管に多発性の動脈硬化性狭窄を認める(矢印)。右:MRIでは、脳の老化現象である血管性の異常信号(白い斑点)が見られる。現在無症状で血液サラサラの薬を内服して経過観察中。
B)脳出血は脳卒中の約4分の1に起こりますが、高血圧性脳出血が最も多く、脳出血の約80%を占めます。最近は高血圧の治療が進んだために減少傾向にあります。次に多いのはくも膜下出血で、脳出血の約20%を占めます。くも膜下出血の原因としては、脳動脈瘤の破裂が最も多く、この場合は重症のくも膜下出血を起こして、死亡したり重篤な後遺症が残りがちです。脳動脈瘤によるくも膜下出血を予防するには、脳ドックなどで脳動脈瘤の有無をチェックして、脳動脈瘤が見つかったら破裂する前に治療することが重要です。動脈瘤の破裂危険因子としては、動脈瘤の家族歴、喫煙、高血圧が知られており、動脈瘤に加えてこれらの危険因子のある人は注意が必要です。
脳動脈瘤の治療は、以前は頭の骨を開けて顕微鏡手術により動脈瘤を閉塞する開頭クリッピング術が主流でしたが、近年では頭の骨を開けずにカテーテル治療で動脈瘤を閉塞できる症例が増えています。脳動脈瘤は、5mm未満の小型、5-10mmの中型、10mm以上の大型に分類され、大きな動脈瘤ほど破裂リスクが高い傾向があります。また、動脈瘤の形や場所によっても出血リスクが異なることが報告されています。
一般的に5mm以上の脳動脈瘤は出血予防のための治療が推奨されますが、5mm以下の動脈瘤は治療せずに経過観察をしたほうがよい場合もあります。したがって、未破裂の動脈瘤が見つかった場合には、専門家に治療方針を相談する必要があります。小さな動脈瘤でも経過観察中にサイズが増大したり、形が変わったりする不安定な動脈瘤は、出血リスクが高いので治療が必要となります。
C)認知症は、認知機能の低下により日常生活に支障が出る状態で、いくつかの種類があります。最も多いのはアルツハイマー型認知症で、もの忘れで発症してゆっくりと進行する傾向があります。MRIでの診断は今のところ困難ですが、脳の海馬という部分が委縮する傾向があるため、海馬の体積を測ってアルツハイマー型認知症の診断の補助に使う場合があります。次に多いのが脳血管障害による血管性認知症です。
脳の機能が保たれている部分と障害されている部分が混在するため、“まだら認知症”が特徴です。血管性認知症にアルツハイマー型認知症が合併する場合もあります。その他に、現実には存在しないものが見えたり、手足が震えたり歩幅が小刻みになるパーキンソン症状があらわれるレビー小体型認知症や、言葉による表現がうまくできない、感情の抑制がきかない、反社会的な行動をするといった症状がでる前頭側頭型認知症があります。
これらの認知症は、根本的な治療が困難ですが、早期に発見して薬物やリハビリ、生活習慣の改善などを行うことにより、進行を遅らせることができる可能性があります。また、正常圧水頭症や慢性硬膜下血腫などの脳疾患、甲状腺機能低下症などの内分泌疾患やその他の全身疾患、ビタミン欠乏症などによっても認知症の症状が出る場合もあり、これらは治療可能な認知症なので見落とさないことが重要です。
認知症の物忘れは、単なる加齢による物忘れとは異なります。認知症による可能性が高い物忘れは、以下のようなものです。1. 全体的な物忘れ:例えば夕食を食べたこと自体を忘れてしまうようなもの忘れ。これに対して夕食に何を食べたのか忘れてしまうのは部分的の物忘れで加齢による物忘れでもよく起こります。2.認識のないもの忘れ;物忘れをしたことを自覚していないもの。3.生活に支障のあるもの忘れ。これらの症状がない物忘れは、加齢によるもの忘れの可能性が高いわけですが、実際には、その中間型が存在し、軽度認知障害(MCI: Mild Cognitive Impairment)と呼ばれます。これは、真の認知症の前段階の可能性もあるので、注意が必要です。
脳ドックを受けると簡易認知機能検査によってMCIが判定される場合があり、その場合は、前述のような進行を遅らせるための治療を行います。
このように、脳ドックを行うことにより、脳動脈瘤や無症候性の脳梗塞の有無、脳および頸部血管の動脈硬化性変化や狭窄の有無とその程度、脳の加齢性変化の程度と認知症リスクの評価が確認でき、これらの疾患の早期診断と予防や治療につながる可能性があります。また、脳腫瘍や副鼻腔炎などの非血管性疾患の早期発見につながる場合もありますので、健康寿命の維持に関心のある方には定期的な脳ドックをお勧めします。当院では専門家による脳ドック結果についての詳細な説明と、所見があった場合のアドバイスを行います。